Наши услуги
На все виды стоматологических услуг пациенту предоставляется гарантия 1 год
Отличная клиника, очень внимательный персонал. Особое, огромное спасибо Меркутовой Елене Викторовне, отличный врач, прекрасный человек и просто красивая женщина. Предложила несколько вариантов решения проблемы, во время лечения была очень внимательна и осторожна. Обязательно буду рекомендовать Елену Викторовну своим друзьям и приведу саоего сына на консультацию
Посещаю данную клинику примерно с 2014 года. Квалифицированный, доброжелательный персонал. Цены вполне себе приемлемые. Лично меня всё устраивает, за всё время посещения ни разу не было никаких неприятностей. Рекомендую.
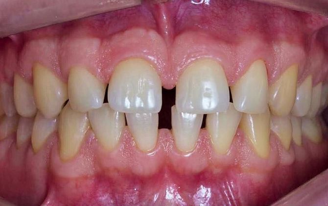
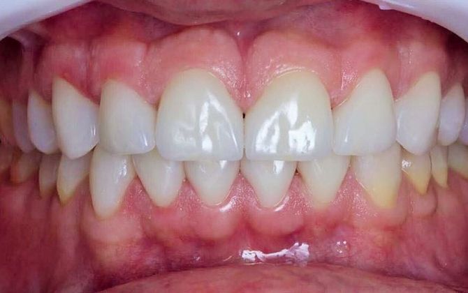
Вот уже вторую неделю наслаждаюсь своей новой идеальной улыбкой! А все спасибо Алексею Александровичу Чекмаеву, за его профессионализм, перфекционизм, кропотливую и четкую работу. Всего за 3 посещения (совместно с Назик Горовной) из моего кривого переднего зуба сделали идеально ровный ряд передних зубов. По цвету коронку не отличить от своих зубов, поменяли выделяющиеся пломбы и сделали реставрацию соседнего зуба.
Администраторы всегда вежливы и делают помещение клиники комфортным.
Ценник- средний по городу.
Спасибо вам, я очень довольна!









